
Dent Center este parte din rețeaua ZAGA, având competențe în tratamente cu implanturi zigomatice pentru cazurile cu pierdere osoasă severă.
Sistemele All-on-4 și All-on-6 pot fi indicate pacienților care:

au pierdut majoritatea sau toți dinții de pe o arcadă
prezintă afecțiuni parodontale avansate sau lucrări compromise


utilizează proteze mobile și își doresc o alternativă fixă
caută o soluție orientată către stabilitate funcțională și integrare estetică

În cadrul Dent Center beneficiați, în aceeași locație, de investigații CBCT 3D și de colaborarea cu un laborator dentar partener, pentru o gestionare coordonată a tratamentului.
Opțiuni de tratament pentru dantură fixă
Tratamentul este organizat în pași medicali bine structurați, stabiliți în funcție de particularitățile fiecărui caz.
Se utilizează metode și protocoale care urmăresc reducerea disconfortului pe parcursul intervenției și al perioadei de recuperare.
În anumite situații cu resorbție osoasă, pot fi indicate soluții care evită intervențiile de adiție osoasă, în urma unei evaluări clinice riguroase.
Lucrarea finală este concepută astfel încât să respecte proporțiile și structura dento-facială a fiecărui pacient.

Termeni diferiți pentru aceeași soluție de reabilitare orală completă
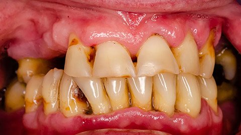
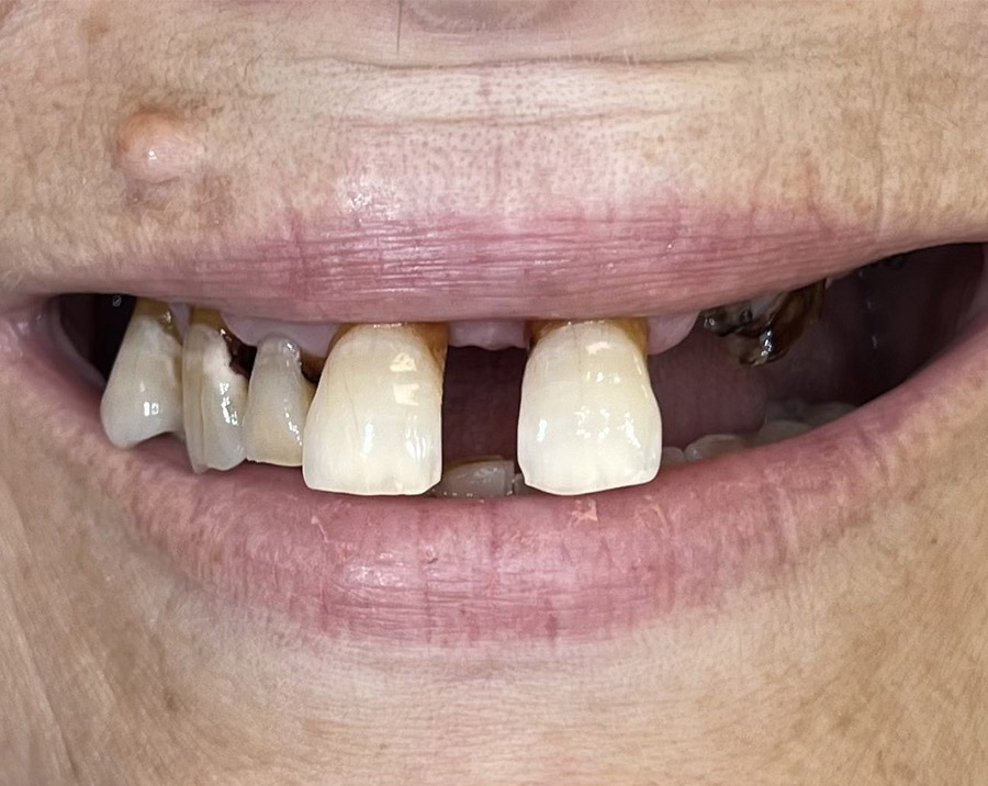
Reabilitarea orală fixă pe implanturi All-on-4 sau All-on-6 este indicată în situațiile în care trebuie înlocuit un număr mare de dinți lipsă de pe o arcadă.
Sistemul utilizează 4 sau 6 implanturi inserate strategic pentru a susține o lucrare fixă. Este o alternativă pentru persoanele care nu mai pot purta proteze mobile sau care își doresc o soluție stabilă, recomandată medical.
În cazurile cu resorbție osoasă avansată, planul de tratament poate include implanturi zigomatice, în urma evaluării clinice și imagistice.
Indicația terapeutică este stabilită individual, în funcție de particularitățile anatomice și de istoricul medical al fiecărui pacient.

“Am primit dantură fixă în 24 de ore și nu pot să cred transformarea! Domnul Caliniuc a fost extraordinar de profesionist și atent. După ani de proteze mobile incomode, acum pot mânca și zâmbi fără griji. Echipa Dent Center a fost minunată pe tot parcursul tratamentului. Sunt recunoscătoare pentru rezultatul obținut și recomand cu toată inima!”
Pacienți care au parcurs tratamente de reabilitare fixă își împărtășesc experiența și etapele procesului medical.
1
2
3
4
Medicii fac parte din rețeaua internațională ZAGA, dedicată tratamentelor în cazuri cu pierdere osoasă severă.

Se simte ca dinții proprii ai dvs.
Recăpătați stabilitatea fără teamă, durere și fără restricții
Susține structura feței și previne îmbătrânirea prematură.
Soluție stabilă pe termen lung
Feedback oferit de pacienți după parcurgerea etapelor de tratament.
5.0 (150+ recenzii)

Acum 1 lună
Profesionalismul, empatia, comunicarea impecabilă și transparența definesc echipa de la Dent Center. Domnul doctor Caliniuc este un adevărat expert în ceea ce face, iar datorită lui am dantura pe care mi-am dorit-o. Au trecut 12 ani de atunci, iar implanturile și coroanele s-au păstrat impecabil. Înainte de a ajunge la domnul doctor, am avut doar experiențe negative în cabinetele stomatologice. Recomand cu toată încrederea acest cabinet. Mulțumesc din suflet, domnule doctor Caliniuc!

Acum 1 lună
Recomand cu mare încredere acest cabinet! Atmosfera este plăcută, personalul foarte amabil, iar medicul explică totul cu răbdare și profesionalism. Rezultatul tratamentului a fost impecabil – m-am simțit în siguranță și pe mâini bune de la început până la sfârșit. Mulțumesc echipei pentru grijă și implicare!

Acum 1 lună
Cabinet stomatologic de prestigiu. Servicii de top. Recomand!!!

Acum 2 luni
Am avut o experienta foarte plăcută la aceasta clinica,cu o echipa dedicata ,de la recepție la scaunul stomatologic. Mulțumirile și felicitările mele domnului doctor Iulian Ciur pentru profesionalismul, atenția,răbdarea și delicatețea fata de pacienți și colegii/colegele de munca! Recomand cu toată sinceritatea!

Acum 2 luni
O clinică în care te simți pe mâini bune: medici cu experiență, dotări moderne, personal auxiliar la fiecare cabinet, curățenie exemplară. Mulțumirile mele D-lui Dr. Iulian Ciur pentru profesionalismul , atenția și răbdarea cu care am fost …
5.0 (200+ recenzii)

21 februarie
Oameni de exceptie, doctori cu „maini de aur” si tehnici impecabile. Si sotul, si eu am avut lucrari multiple: obturatie de colet, detartraj, refacere fațete, coroane, implanturi. Toate sunt lucrate impecabil. Recomand din toata inima echipa de la Dentcenter.

13 iulie

27 octombrie

6 iunie
Recomand cu mare drag Dr. Alexandra Suciu. A lucrat contra timp , iar rezultatele au fost amazing! Mi-a oferit cele mai bune sfaturi in solutionarea problemelor dentare si nu ma dezamagit.
Răspunsuri medicale privind indicațiile, etapele tratamentului și îngrijirea ulterioară.
Este o soluție modernă de înlocuire a dinților lipsă, în care o lucrare fixă este susținută de implanturi dentare inserate în os.
Nu, pacientul nu o scoate zilnic. Lucrarea este fixată pe implanturi și poate fi îndepărtată doar de medic, dacă este necesar.
De regulă, sunt necesare între 4 și 6 implanturi pe arcadă, în funcție de situația osoasă și de tipul lucrării.
Procedura se realizează sub anestezie locală, iar disconfortul postoperator este, de obicei, minim și controlabil cu medicație.
În multe cazuri, se poate monta o lucrare provizorie fixă chiar în aceeași zi sau în câteva zile după intervenție.
Cu o igienă corectă și controale regulate, implanturile pot rezista zeci de ani, iar lucrarea se menține funcțională pe termen lung.
Da, după perioada de vindecare, pacientul poate mânca aproape orice, fără restricțiile specifice protezelor mobile.
Da, lucrările sunt realizate personalizat, astfel încât forma și culoarea dinților să fie cât mai apropiate de cele naturale.
Este o soluție potrivită pentru majoritatea pacienților cu dinți lipsă, chiar și în cazuri complexe, după evaluare medicală.
Se periază zilnic, se folosesc mijloace speciale de igienizare și se recomandă controale periodice la stomatolog.